
“右心声学造影”检查又名“发泡实验”, 是一项简便易行的超声心动图的检查方法,通过静脉注入震荡的无菌生理盐水,达到右心腔显影的目的。主要用于诊断或排除心内或者肺内右向左分流相关疾病,如卵圆孔未闭、肺动静脉瘘、永存左上腔、 肝肺综合征等。2021年,我院超声诊断中心开展了这项新技术,填补了启东超声领域的空白,为许多卵圆孔未闭患者的诊断提供了精准的报告。
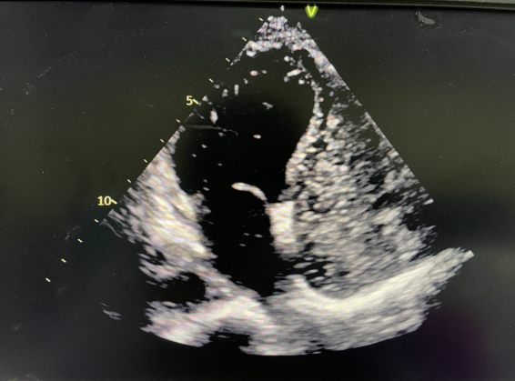
超声诊断中心主任尹安平带领葛乃红医师为陈女士共同完成了“右心声学造影”检查。检查结果印证了沈斌主任的判断,结果显示:患者在Valsalva运动后,左心内可见3-5个微气泡。在超声诊断上属于卵圆孔未闭,尽管分流很少,但这就是她偏头痛的原因。
右心声学造影在卵圆孔未闭的诊断中确实具有独特的优势。卵圆孔未闭发生率其实很高,在人群中卵圆孔发生率可以达到约20%-25%,也就是说,10个人中会有2个人患有卵圆孔未闭,卵圆孔未闭没有特殊症状一般无需特殊治疗。
少数卵圆孔未闭的患者会合并偏头疼,甚至会发生脑卒中。如果反复发生偏头疼又找不到其它原因,建议做“右心声学造影”排除是否“卵圆孔未闭”导致。
哪些人需要做右心声学造影检查?
1.偏头痛的年轻患者,特别是有先兆偏头痛的患者(有视觉异常反复发作);
2.原因不明的隐匿性脑梗、TIA晕厥患者;
3.经卵圆孔未闭封堵术后的检测;
4.心内分流;
5.肺动静脉瘘等。
右心声学造影安全吗?
安全、无副作用。我们使用的造影剂为生理盐水微泡造影剂,一般做完右心声学造影检查后都无明显不良反应。极少数患者可能出现咳嗽、头晕等症状,一般几分钟后就缓解。